Ortodoncia invisible y brackets en Illescas para una sonrisa alineada y segura
Alinea tu sonrisa con ortodoncia invisible o brackets en Illescas. Tratamiento cómodo, estético y con financiación hasta 36 meses.
¿No te sientes cómodo con tu sonrisa?
Dientes torcidos, apiñados, mordida cruzada o simplemente esa sensación de que algo no encaja… Muchas personas viven con ello, resignadas a no sonreír abiertamente.
Y sin embargo, nunca ha sido tan fácil corregir tu sonrisa como ahora.
Alineamos tus dientes sin que nadie lo note
La ortodoncia ya no es solo brackets metálicos. Gracias a sistemas como Invisalign, hoy puedes corregir tu sonrisa con férulas transparentes, removibles y prácticamente invisibles.
En Clínica Dental TorreLara te ofrecemos ambas opciones:
Ortodoncia Invisible (Invisalign Provider)
Tratamiento realizado por la Dra. Mónica Martin-Luengo, ortodoncista certificada y miembro de SEDO.
Alineadores transparentes, cómodos y discretos
Se quitan para comer y cepillarsemiento con sedación si el paciente lo solicita.
Perfecto para adultos y adolescentes
Menos urgencias, más libertad
Ortodoncia con Brackets
Clásicos metálicos o estéticos (zafiro)
Muy eficaces en casos complejos
Control total de movimiento dental
Más accesibles económicamente
Por que elegirnos
¿Qué conseguimos con la ortodoncia?
Dientes alineados y funcionales
Mejora de la mordida y la articulación
Menor desgaste y mejor higiene
Más estética, más seguridad, más autoestima
¿Te preocupa que la ortodoncia sea molesta o dolorosa?
Es una duda muy habitual, especialmente en adultos que no quieren pasar por incomodidades.
En TorreLara, la ortodoncia se adapta a ti. Y si lo necesitas, puedes contar con sedación consciente en las visitas más sensibles (colocación, ajustes, etc.):
En TorreLara, la ortodoncia se adapta a ti. Y si lo necesitas, puedes contar con sedación consciente en las visitas más sensibles (colocación, ajustes, etc.):
- Evita la ansiedad y el miedo anticipado
- Te relajas completamente durante el procedimiento
- s segura, rápida y se recupera enseguida
Además, trabajamos con sistemas como Invisalign, mucho más cómodos que los brackets tradicionales.
Tu sonrisa no tiene por qué doler. Reserva tu primera cita gratis sin compromiso.
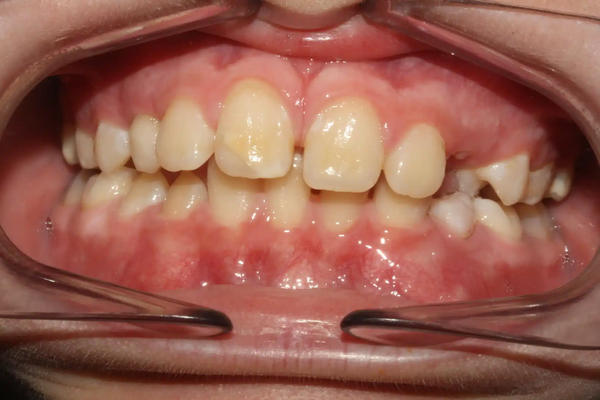
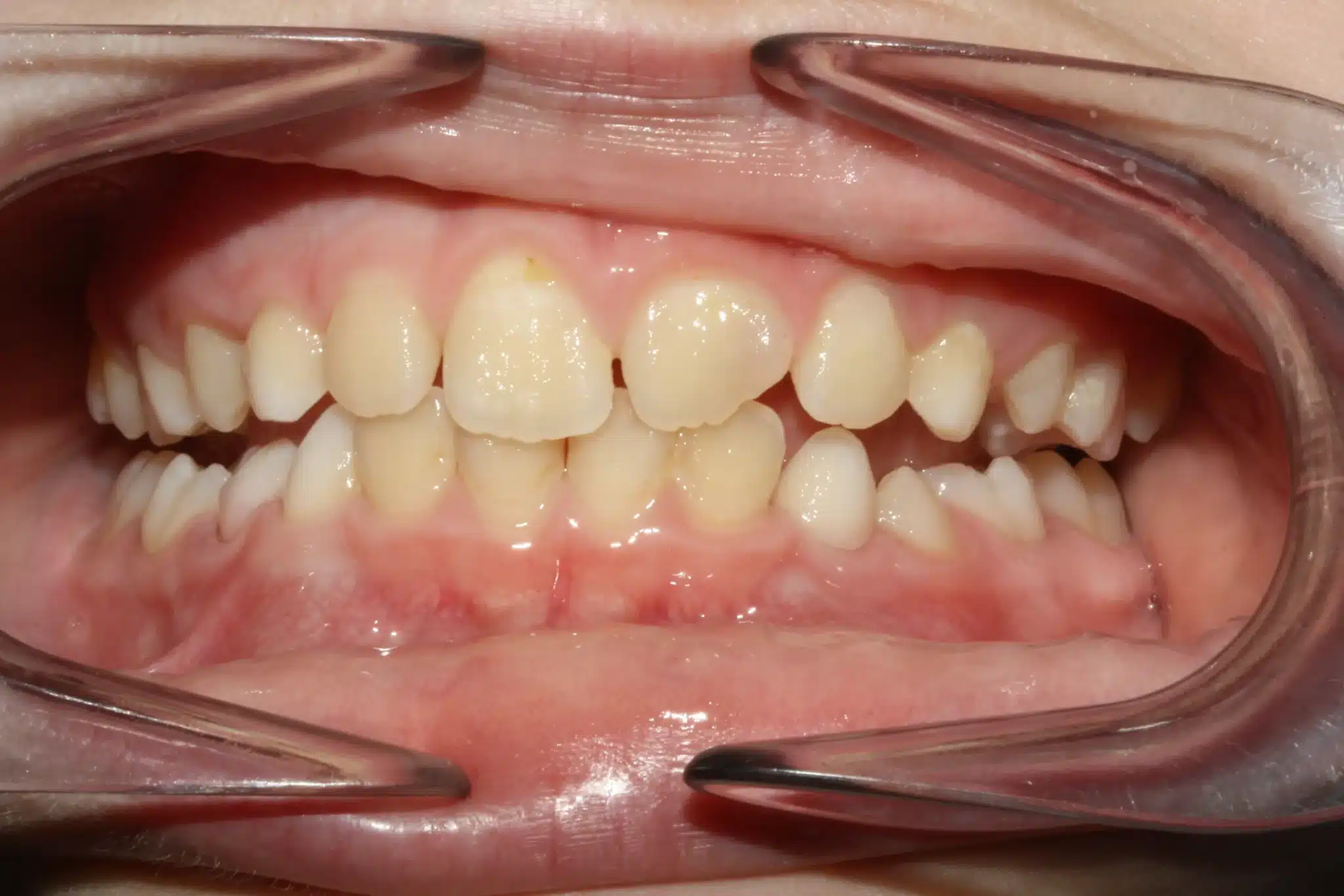
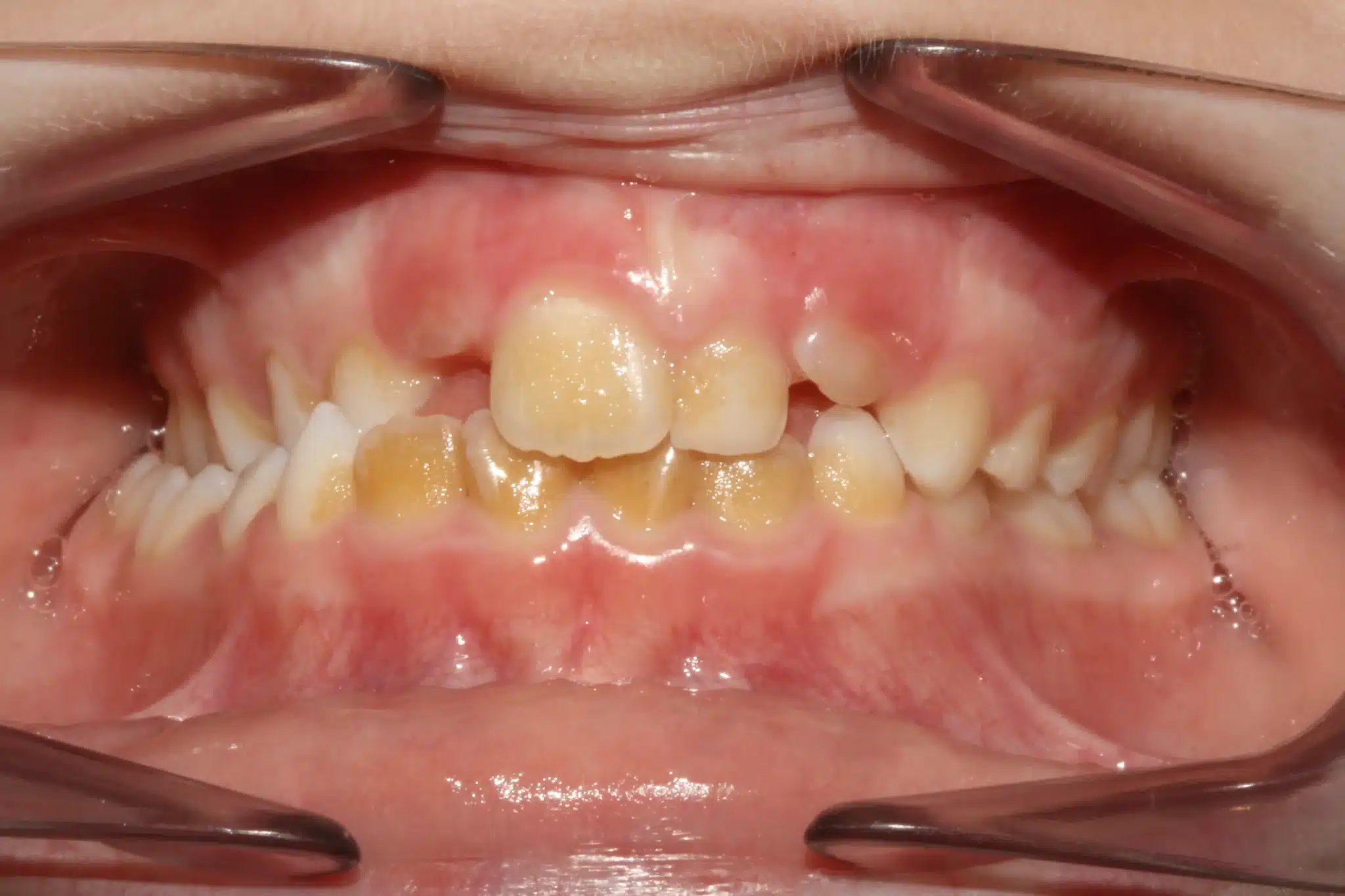
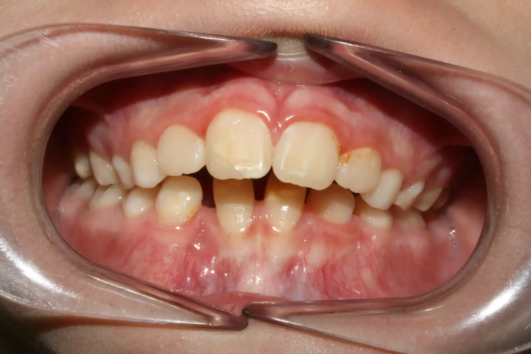
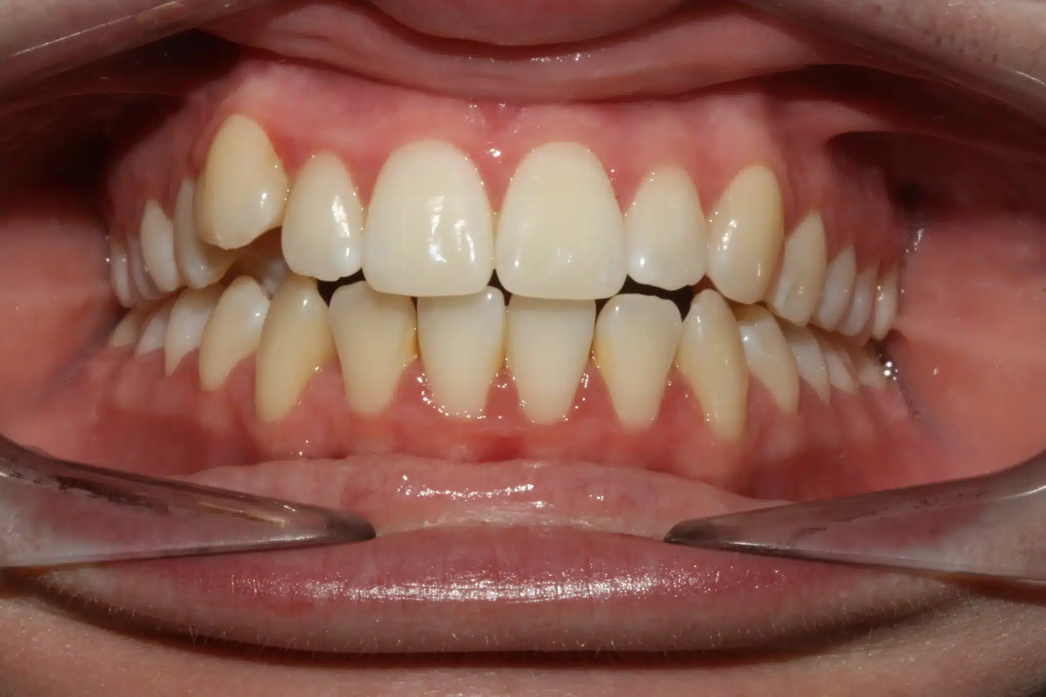
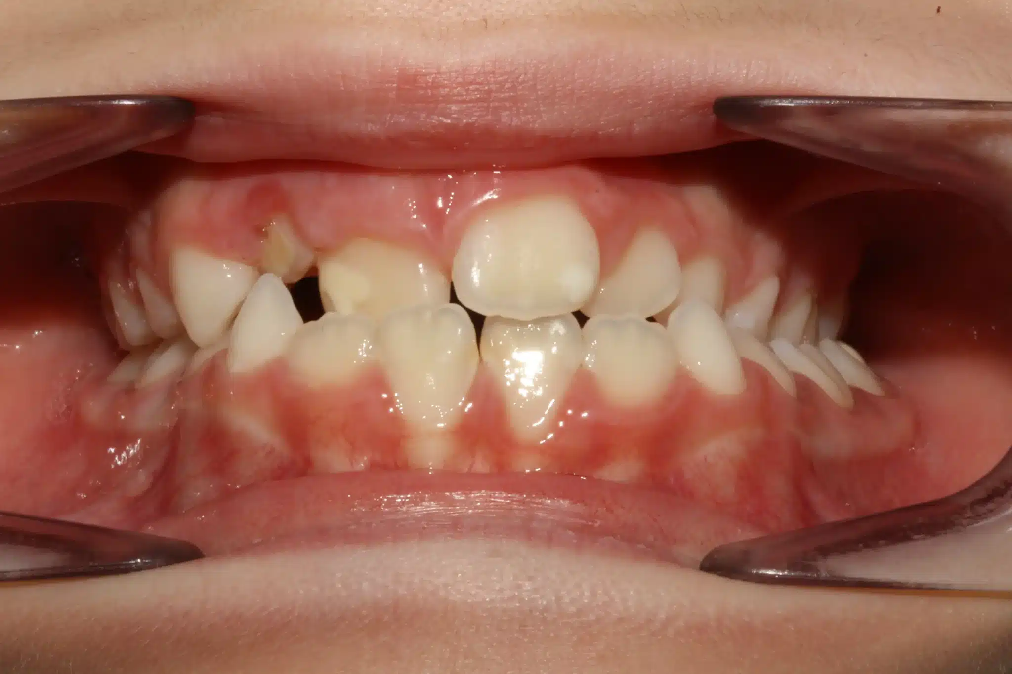
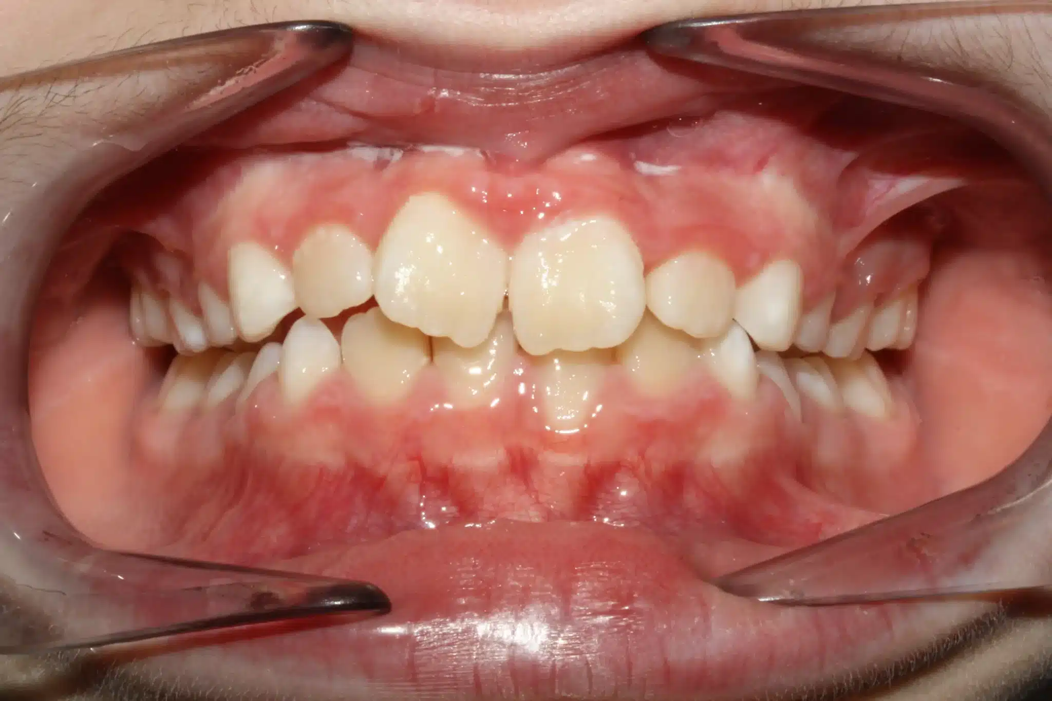
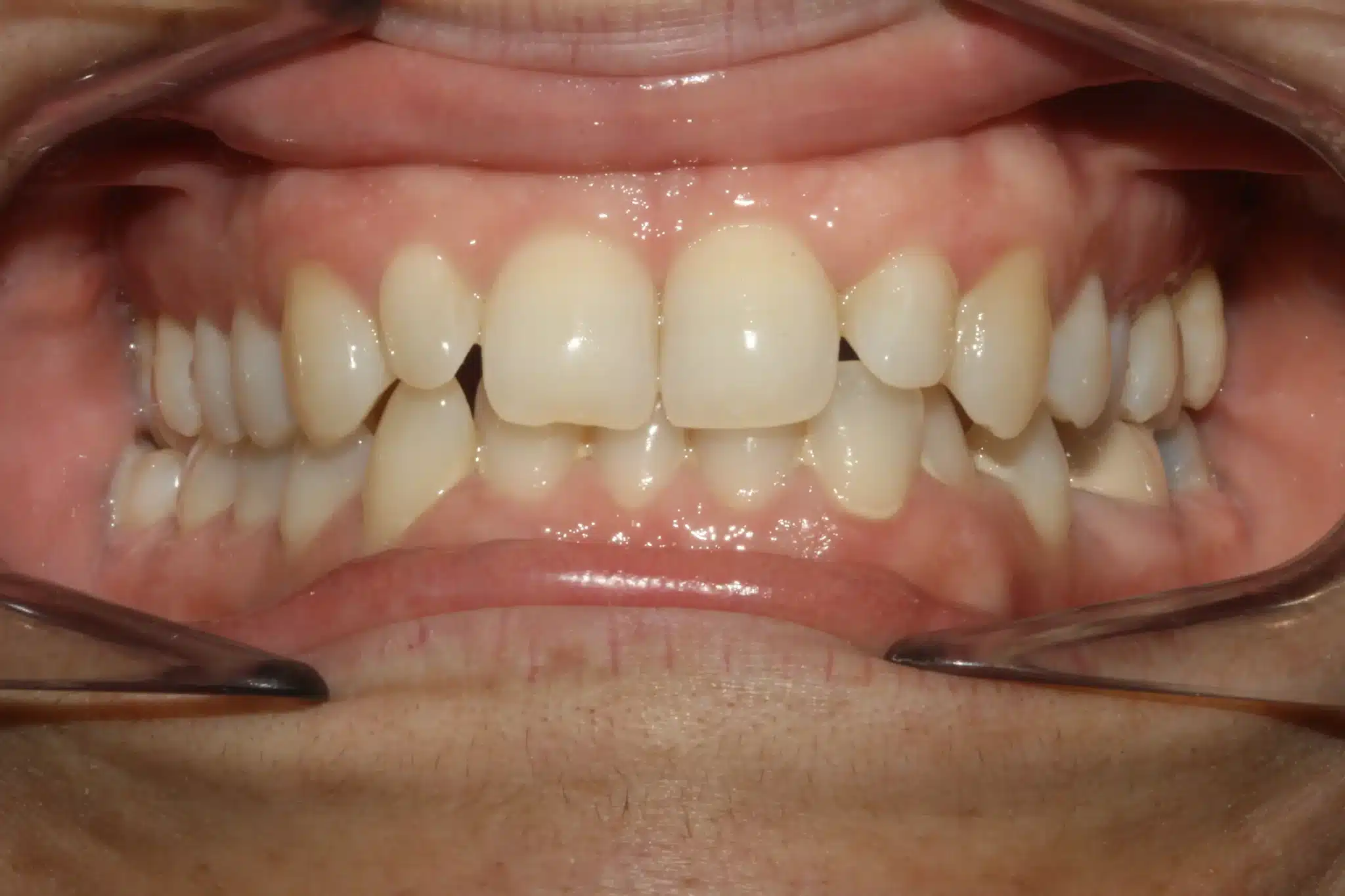
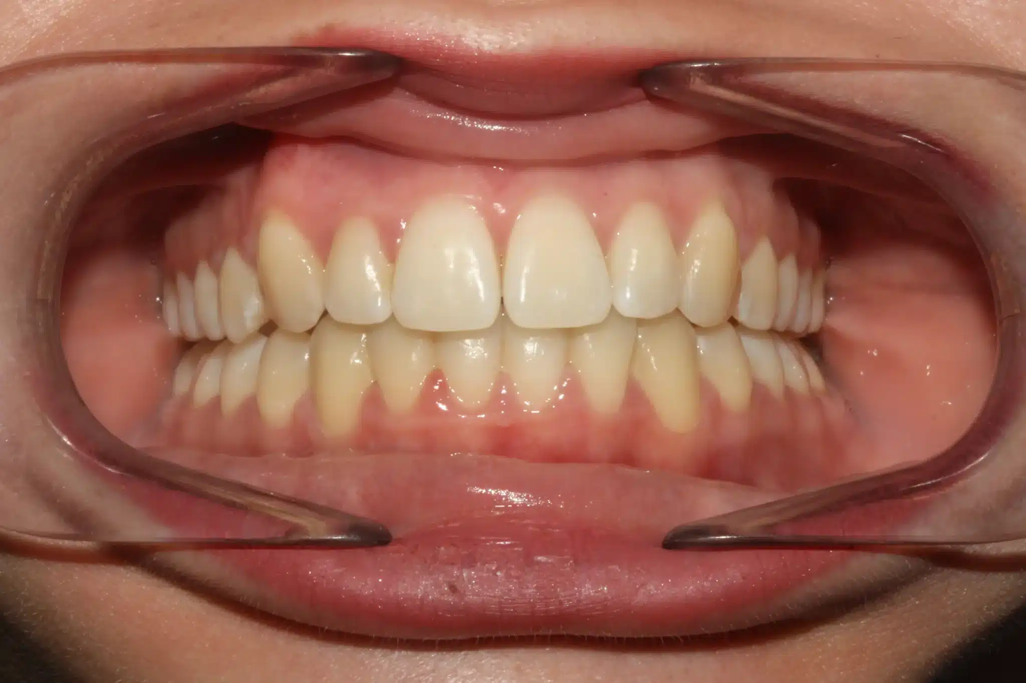
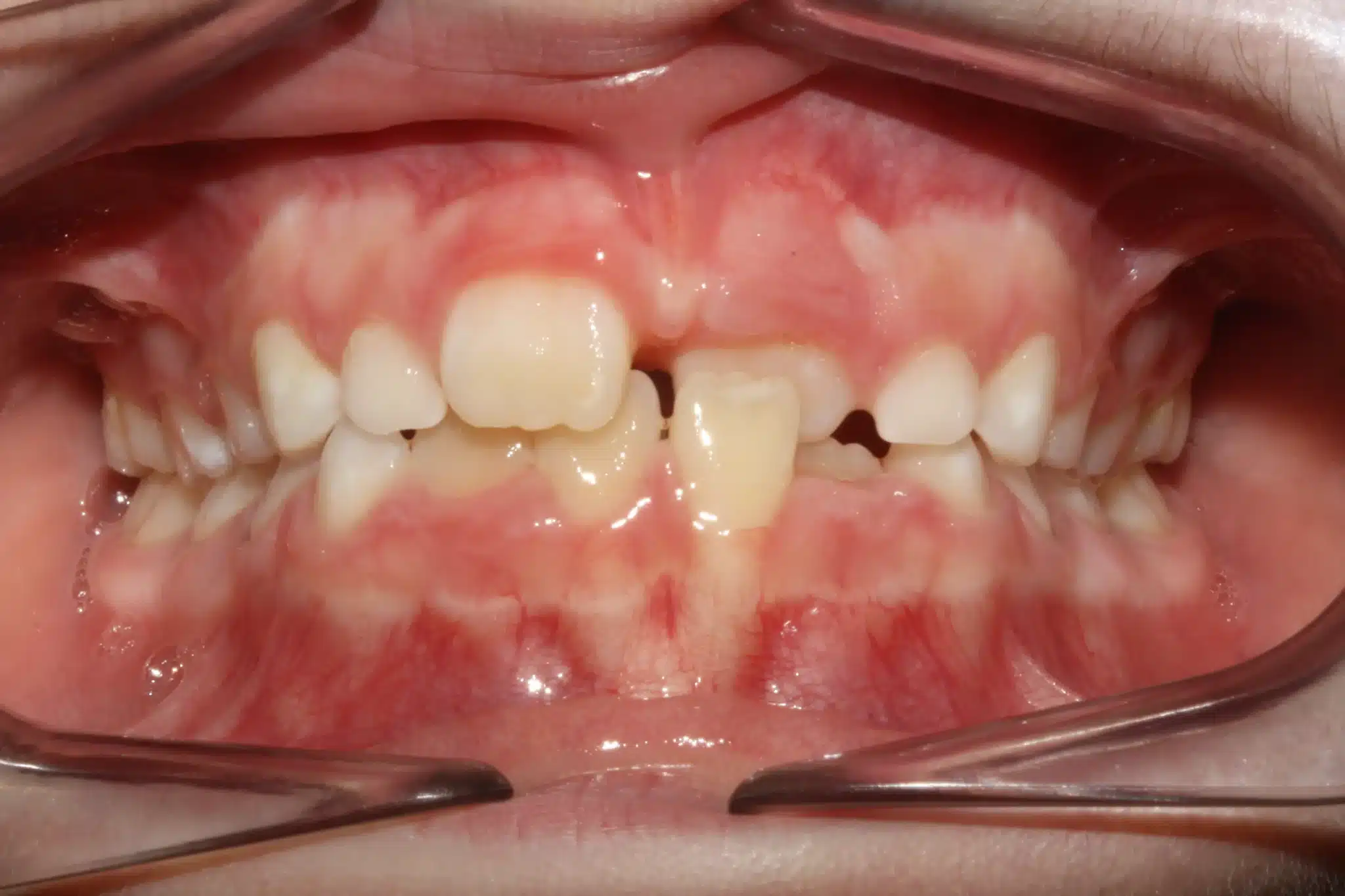
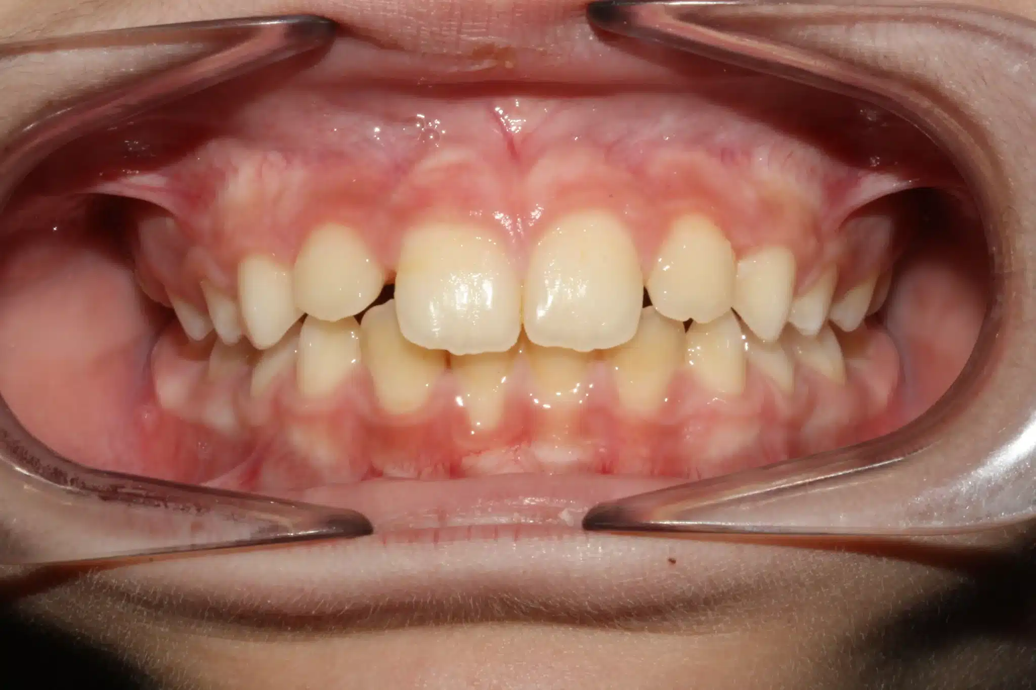
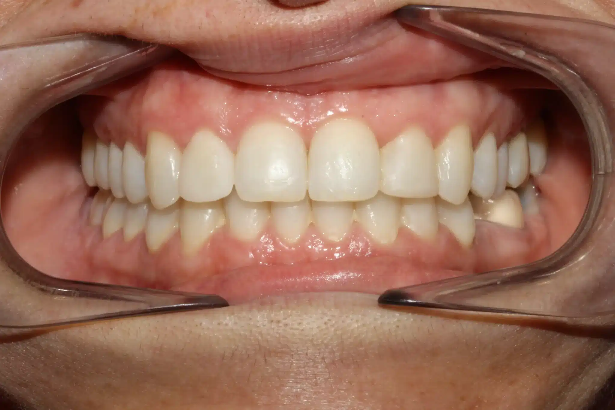
Resultados
Nuestros trabajos de ortodoncias realizadas
Financiación
Paga en cómodos plazos
Tener una sonrisa alineada está más cerca de lo que crees. Puedes comenzar tu tratamiento ahora y pagarlo cómodamente, sin grandes esfuerzos iniciales.
- Financiación mensual adaptada a tu ritmo
- Sin necesidad de pagar todo de golpe
- Aprobación rápida en la misma clínica
- También puedes abonar cada revisión o etapa por separado
Sonrisas que hablan por sí solas
EXCELENTE A base de 64 reseñas Publicado en Margarita Retuerto AlcocerTrustindex verifica que la fuente original de la reseña sea Google. Solo puedo decir cosas buenas tanto de América con las niñas y Guilia con los adultos! 100% recomendable!!Publicado en Alejandro CarrascoTrustindex verifica que la fuente original de la reseña sea Google. Estuvimos buscando un odontopediatra por la zona y sin lugar a duda trato y servicio excelente.Publicado en Alberto martinez morenoTrustindex verifica que la fuente original de la reseña sea Google. Personal muy amable y profesional.Publicado en Francisco GermanTrustindex verifica que la fuente original de la reseña sea Google. Excelentes profesionales y de confianza. Precios muy competitivos. Totalmente recomendable y con gran variedad de tratamientos y especialidades dentales. Se ha convertido en mi clínica de confianza, son super amables y la atención es totalmente personalizada. Mencionar a Ana la higienista,la atención y el trato que da.Publicado en Pau RuizTrustindex verifica que la fuente original de la reseña sea Google. Muy buena experiencia. Amabilidad y profesionalidad a la par. Empezó yendo un miembro de la familia y ya somos todos clientes 😁 Muy recomendable!Publicado en N CTrustindex verifica que la fuente original de la reseña sea Google. Buscaba un dentista infantil y me recomendaron a la Dra. América. Lo más acertado del mundo! Excelente profesional, además de cercana y humana, al igual que su equipo.Publicado en Virginia M.ETrustindex verifica que la fuente original de la reseña sea Google. Unos profesionales de 10, siempre con un trato ejemplar hacia el paciente. Recomiendo esta clínica muchísimo.Publicado en Marta LuqueTrustindex verifica que la fuente original de la reseña sea Google. Mi clínica dental de confianza, llevo varios años con ellos y no puedo estar más contenta por el trato, la profesionalidad…. Destacar en especial a Eli, América, Belén, Pedro…. No dudéis en poneros en sus manosPublicado en Sonia De La CruzTrustindex verifica que la fuente original de la reseña sea Google. Muy profesionales
FAQ´S
Preguntas frecuentes sobre Ortodoncia
Si no encuentras tu pregunta, contactanos y te aclararemos cualquier duda:
Depende de tu caso, edad y estilo de vida. Te asesoramos para elegir la mejor opción para ti.
No duele, aunque puede haber una ligera presión al principio. Es mucho más cómoda que los brackets tradicionales.
Entre 6 y 24 meses según el caso. Hacemos una estimación precisa en tu primera visita.
Tu clínica de ortodoncia en Illescas
Te esperamos en nuestra clínica de Illescas para valorar tu caso sin compromiso. Te explicamos todo paso a paso y resolvemos tus dudas.